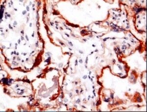
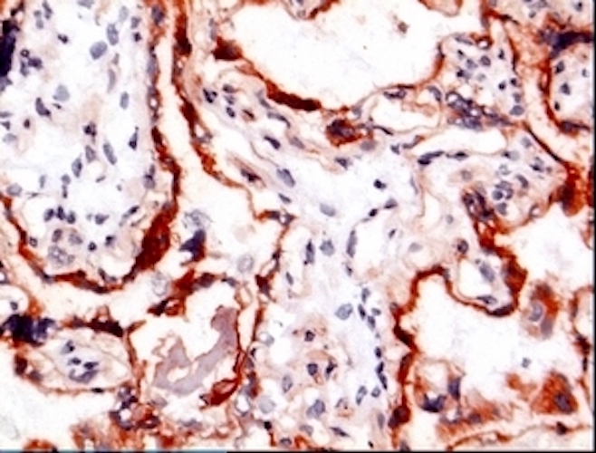
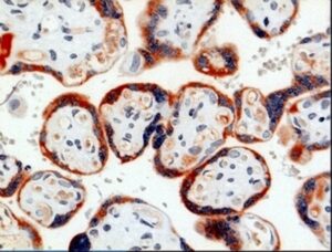
Anti-Pregnancy associated plasma protein A (human, PAPP-A)
CAT NO: BTE 004-09
| Product Name | Anti-Pregnancy associated plasma protein A (human, PAPP-A) |
| Description | Mouse monoclonal antibody |
| Isotype | IgG2b/k |
| Host | Mouse |
| Clone | 9 |
| Conjugation | Unconjugated |
| Tested Applications | ELISA, WB, IHC |

