ProNephro AKI (NGAL) is now FDA-Cleared     READ MORE

Mouse monoclonal antibody

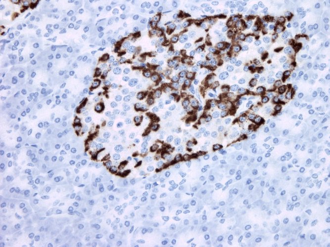
Anti-Glucagon (human, pig, rat)

CAT NO: ABS 061-09 | Application: ELISA, IHC, IF


Cat. No.

ABS 061-09

Specificity

ABS 061-09 binds human glucagon. Cross-reacts less than 5% with oxyntomodulin.

Immunogen

Synthetic full length oxyntomodulin coupled to carrier.

Host

Mouse

Positive Species Reactivity

Human, Rat, Pig

Negative Species Reactivity

Not determined

Isotype

IgG1/k

Gene ID

2641, 24952, 397595

Clone Number

9

Epitope Specificity

The epitope lies within the C-terminal region of glucagon.

Unit Size

400 µL: Cat. No. ABS 061-09-04 1 mL: Cat. No. ABS 061-09-1 1 mg/mL +/- 15%. See Certificate of Analysis for details.

Purification

protein A/G purified (from culture supernatant)

Form

Liquid

Solvent

0.01 M phosphate buffer, pH 7.4, containing 0.5 M NaCl and 15 mM sodium azide

Conjugation

Unconjugated BSA free

Storage

4-8ºC without exposure to light. No precautions necessary during handling.

Target

Glucagon is a peptide hormone of 29 amino-acid residues produced by the alpha cells of the pancreatic islets. Its effect is to raise blood sugar as a stress hormone and counter-regulatory hormone for insulin. It is produced by cell-type-specific processing of proglucagon, which in the alpha cells is split to form glicentin-related pancreatic polypeptide, glucagon and major proglucagon fragment, while the same precursor is split to form glicentin, oxyntomodulin (C-terminally extended glucagon-37), GLP-1 and GLP-2 in the L cells of the intestinal mucosa.